卵子與精子結合,形成受精卵,進而卵裂形成胚胎,是最終發育形成胎兒的基礎。在胚胎的早期發育過程中,卵子幾乎提供了所有的營養物質。因此,一個好的卵子對胚胎的發育至關重要。

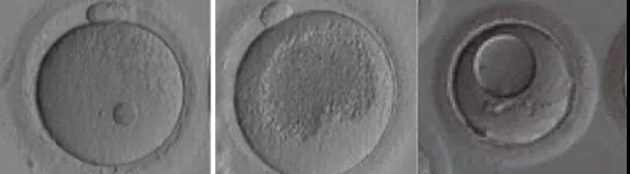
成熟的卵子大致為圓形,直徑約130um。主要有三個部分組成:
1、最外面的環狀結構是透明帶,為卵子提供安全的屏障,在受精過程中防止多條精子同時進入卵子而導致多精受精,并在早期發育過程中對維持胚胎的立體結構發揮重要的作用。
2、卵母細胞,也就是卵子的最核心部分,與精子結合形成受精卵進而發育為胚胎。
3、第一極體的出現則意味著卵子已經發育成熟,做好了迎接精子受精的準備。
正常形態的成熟卵子應該為圓形、胞漿均勻、顆粒均勻、卵周隙內無雜質、第一極體形態正常以及透明帶形態正常。在試管嬰兒助孕中,卵母細胞的評分與臨床妊娠結局有一定的相關性。
一、卵子的三個發育階段
人的卵母細胞在胎兒出生時一直處于休眠狀態,青春期開始逐漸進入成熟發育的階段。此時的卵母細胞核較大,稱為生發泡,即GV期卵子。在排卵前的36-48小時,生發泡破裂,這個階段的卵子稱為MI卵子。LH峰值后36-40小時,卵子完成減數分裂,排除第一極體,發育成熟為MII卵子。
目前認為只有MII的卵子才具有受精發育的能力。通常患者促排卵拿到的卵子中有10%左右是未成熟卵子,即MI或者GV卵子。在有成熟卵子可用的情況下,這種未成熟卵子往往是不推薦使用的。


二、異常卵子的形態
在促排卵周期,一批獲卵中總會有少數幾個形態異常的卵子,漂亮的卵子千篇一律,異常的卵子各有各的異常。我們根據異常的類型分為胞漿外形態異常和胞漿內形態異常。目前的觀點認為,卵子的輕微異常并不會影響到胚胎的發育潛力,嚴重的異常卵子才會影響胚胎的發育潛力。當然,這都是形態學的初步評價,成功妊娠并活產才是評價一個卵子質量的金標準。


(圖:胞漿內形態異常)


(圖:胞漿外形態異常)
三、卵子越多越好嗎?
取卵手術結束后,患者經常會在休息室交流。你取到幾個卵子,我取到幾個卵,那是不是卵子越多就一定好呢?根據數據顯示,一次獲卵8-12個已經足夠70%以上的患者懷孕了。成功與否在于質量而非數量。卵泡數過多,取卵手術和卵巢過度刺激綜合征的風險也大大增加。而獲卵偏少的姐妹也無需過度焦慮。畢竟,只要卵子和胚胎質量好,理論上1個卵子就夠了呀!
四、影響卵子質量的原因及改善方法有哪些?
1、年齡
年齡是影響卵子質量最主要的因素。隨著年齡的增長,卵巢儲備功能下降,卵子質量也會跟著下降。隨著年齡的增加,高齡婦女的卵子非整倍體比例增加,妊娠率下降,流產率增加。所以,生娃要趁早,趕緊科學備孕起來吧。
2、促排卵方案
在進行“試管嬰兒”過程中,醫生就會利用藥物獲得多枚成熟的卵泡。每個患者的卵巢儲備不同,對藥物的反應也不同,適合不同的促排卵方案。姐妹不必糾結跟其他人方案是否一樣,這個方案能否多拿到幾個卵子,畢竟最終的妊娠結局往往取決于卵子和胚胎的質量而非數量。

3、生活習慣及心理壓力
過度肥胖、長期熬夜、極度焦慮等百害而無一利。健康的飲食,充足的睡眠,適量的運動及樂觀開朗的心態都有助于體改卵子的質量。也有一些姐妹在等待“試管嬰兒”過程中或者做完“試管嬰兒”后自然懷孕,這也是與心情放松密不可分的。
4、輔助治療
除了改善生活習慣,放松心情外。對于卵巢功能減退的患者,輔酶Q10和生長激素等對卵巢功能的改善也有一定的幫助。但這些藥物并不是卵巢的長生不老藥,只能理論上上輔助卵子的質量改善,具體的功效還是需要更多的研究支持。