根據2019年的《中國生育報告》調查顯示,從1990年到2015年,中國女性的平均生育年齡從24.1歲推遲到26.3歲。晚婚晚育成為越來越多的中國女性的選擇。
近年,女性生育年齡等話題一直都是大家討論的對象。那么22-28歲,真的是女性最佳生育年齡嗎?
在2016年,美國NCBI(美國國立生物技術信息中心)發布了一組關于女性孕期并發癥的研究數據,該項研究指出,30-34歲孕期并發癥的發生率最低,而11-14歲生育最高,其次才是40歲以上。




那么“高齡產婦”生子難問題,這背后真正的生物學機制到底是什么呢?
首先,我們需要知道,卵子的發育成熟需要經歷兩次分裂:第一次分裂是同源染色體分開,染色體的數目減少一半,是減數分裂;第二次分裂是姊妹染色單體分開,染色體的數目沒有減少,是等數分裂。兩次分裂的中后期,染色體和染色單體會分別在紡錘絲的牽拉下向兩級移動,實現均勻分配,最終一個初級卵母細胞發育成熟為一個單倍體的卵細胞和三個極體。然后,通過受精作用又恢復二倍體,最終發育為一個完整的個體。
然而,一旦卵子在成熟過程中染色體排列出現異常,紡錘體檢驗點就會實施“報警”,防止非整倍體卵子的產生,從而阻斷異常卵子成熟與受精。導致“不孕癥”出現。有研究表明,這種“不孕癥”現象出現的幾率會隨著女性年齡的增加而增加,尤其是35歲之后的女性!
我們都知道:正常的減數分裂和染色體分離,保證了有性生殖生物個體世代之間染色體數目的穩定性,這在生物學和遺傳學上具有重要的意義。
近日,加拿大蒙特利爾大學醫院研究中心(CRCHUM)的研究人員Greg FitzHarris及其團隊成員,發現了與年齡有關的女性不孕癥的原因之一:滯后染色體。
他們在衰老的老鼠卵子(卵母細胞)中發現,一些染色體在細胞分裂的關鍵階段-減數分裂過程中移動較慢。從而導致染色體分布的不均勻,因此而形成的染色體數量異常的細胞被稱為非整倍體,這也是不孕的主要原因之一。該研究發表在國際期刊Developmental Cell上,通過該研究,他們建議,未來有可能通過改善細胞周期的發生水平來改善老年患者的卵子質量,進而治療年齡相關的“不孕癥”。


圖片來源:10.1016/j.devcel.2021.07.022
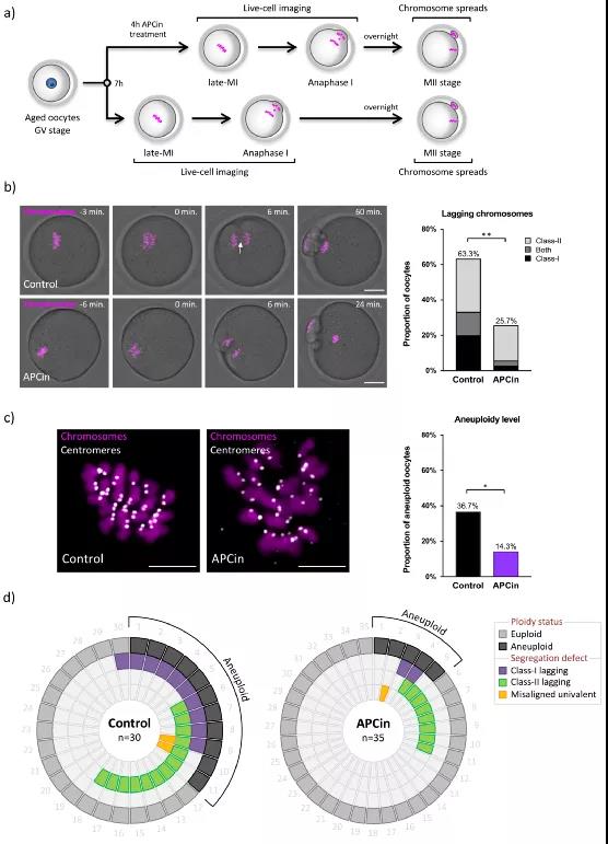
研究人員分別使用2-3月齡的年輕CD1小鼠和16月齡的年老CD1小鼠為研究對象,采用紅色熒光標記組蛋白2B (H2B-RFP)對年輕和老年小鼠卵母細胞的細胞核中染色體和著絲粒進行標記,以評估細胞分裂MI后期染色體分離滯后的發生率。
結果發現:滯后染色體發生率在年輕小鼠中為21.7%,老年小鼠中則為66.7%。初步說明了:母體老化會增加細胞分裂后期滯后染色體和非整倍體的出現的幾率,且染色體滯后的發生比例遠遠高于非整倍體出現的比例。
之后,研究人員又通過實時成像數據集來定量描述了滯后染色體的時空動態。并將兩種不同類型的后期滯后染色體行為分為“一級”和“二級”。其中“一級”為:細胞分裂后期表現出向極移動速度減慢,導致染色體在后期中期滯后;“二級”為:細胞分裂后期開始時染色體非常輕微的錯位,并在后期以與正常分離染色體相似的速度移動。
這些結果導致了小鼠卵母細胞中存在兩種不同類型的滯后染色體,其中i類染色體通常導致非整倍體,而ii類染色體則不會,且這兩類染色體的發生率呈現年齡相關性:i類染色體在年輕小鼠的卵母細胞中落后5.0%,在老年小鼠的卵母細胞中落后35.1%;ii類染色體在年輕小鼠中為15.0%,在老年小鼠中為31.6%


兩類滯后染色體
接著研究人員為了進一步研究滯后染色體與非整倍體之間的關系,以尋求控制染色體滯后發生的策略,他們通過添加一種可逆的促細胞分裂后期復合物/環體小分子抑制劑(APC/C),抑制MI期結束的發生,使該階段時長從8.5小時延長到11小時,發現滯后染色體的發生率加藥組(25.7%)較未加藥的對照組(63.3%)明顯減少,說明延長小鼠卵母細胞分裂的MI期可以選擇性地抑制i類滯后染色體出現,從而減少卵母細胞非整倍體的出現。

細胞分裂期延長減少了老年小鼠卵母細胞中i類滯后染色體的形成和非整倍體的出現
綜上可知:
染色體分離錯誤導致滯后染色體出現、卵母細胞非整倍體出現,且該現象隨著母本年齡的增加而增加,這被認為是女性與年齡相關的生育能力下降的主要因素。
研究人員還發現,在細胞分裂過程中協調染色體分離的微管在老齡小鼠卵子中表現異常。微管運動的改變顯然導致了染色體分離的錯誤,這也為年齡相關性不孕提供了一種新的解釋。


圖片來源:10.1016/j.devcel.2021.07.022
晚婚晚育已經成為當今社會的趨勢。在實際生活中,還需要根據雙方年齡及具體身體狀況來分析。所以,先讓自己的生活方式健康起來吧!
參考文獻來源:
https://www.biorxiv.org/content/10.1101/2021.01.30.428896v1
https://www.sciencedirect.com/science/article/abs/pii/S1534580721006055?via%3Dihub
https://www.sciencedirect.com/science/article/abs/pii/S0962892416301325?via%3Dihub
https://www.cell.com/current-biology/fulltext/S0960-9822(17)30162-8